歡迎來觀賞我的牙齒矯正經歷!
為了寫好這篇,我努力了三個多月! (還會繼續記錄的!)
期間我有定期拍牙齒照片!但不幸地....因為某次電腦故障,所有照片都不見了 :'( (嚎哭)
幸好,我閒來也有用手機拍下牙齒照片(為要傳送給家人看xD),所以就把手機內僅餘的牙照都上載上來,希望可以協助解說。
照片是沒我原本為Blog拍的那些細仔,但也總好過一張照片也沒有吧。
警告: 看了牙照會不安的人就不要繼續看咯!
2013年9月22日
時 光 倒 流 ~~~~~
2013年5月份...
本來想我在整個箍牙旅程完結後,才一次過把所有過程和感想記下。
因為我覺得如果每個月在網誌寫一次進度和感受,再附加圖片,最後我的療程失敗了
(TOUCH WOOD!!!)的話,我看回這幾個月來打的網誌,必定會很傷心和失望 -_- (悲觀主義者?)。
(其實是因為我在網上看過幾個「箍牙失敗」的例子 :S 好可怕... 錢是付了,但牙沒有變齊整!實在是惡夢! 原因是:有些牙齒太固執,不願意去動! 這樣的程況下,牙醫也沒辦法,只好宣佈療程失敗! 神啊!求祢勸勸我的牙齒不要太固執!!)
所以我計劃在箍牙成功後,才會寫感想! 這樣好像是「保證開心」。
今天是我戴牙套的第一天,我吃了頓這輩子吃得最久的晚飯(以最慢的速度嘴嚼),這天的晚餐,要姑媽陪我吃粥了(煮了三文魚紹菜潮州粥)。
晚飯後,我在網上搜查一些給戴牙套的人用餐的建議餐單(我是太無聊-_-),無意中發現有些網誌,是人家記錄他們整個箍牙經歷的(太概每月寫一篇)。
我覺得這樣蠻有意思,至少可以記下每月感想(或許整個療程完結後,已經記不起Day 1戴牙套時的感覺!)。
那我決定效法他們,寫箍牙日記!!!
首先說一說我原本的那排牙齒...
這麼多年來,我身體上最令我不滿意的部份就是牙齒!
也是從小我便對自己說,如果將來有機會改變一下外觀,首先要改變的是牙齒!!!(堅決地)
(其次便是激光矯視和激光脫毛 xD 但這些是題外話...)
可惡的那幾位朋友可能以為我做隆胸手術比較有急切性 -_-,但其實胸部小也有好處,有些人會喜歡細小胸部帶來的方便 (勉強被我說過去啦拜託! xD)
但牙齒不齊整就好像沒有任何好處... 所以矯齒較重要啦!
哎!氣死我!原本我拍了一系列戴上矯齒器前的照片! 現在全都不見了,唯有手繪幾張圖用作解說...
我的下排牙齒其實也算是頗整齊,但上排就有兩顆「哨牙」、兩顆「生得太後的牙」(詞窮-_-)和一顆「爆牙」。
如果從下往上看,我上排的牙齒大概是這樣:

~_~ 這幅圖我想畫很久的了,哈哈~
從小到大,我都算是沒怎樣被同學/朋友取笑過(幸運TvT)...但也被開玩笑地喚過「哨牙雞」.\/."
(這個名字永遠也不再適用於我身上啦!)
牙齒不齊整會帶來很多尷尬時刻,詳細的我會在未來的一篇「矯齒/箍牙前傳」裡寫...
現在先說一件事吧! (讓你們更容易明白我的感受T_T)
例如,如果朋友想跟我分享一口食物...

大家幻想這片是方包(畫功很差的說... -_-)
朋友說(慷慨地):讓你咬一口吧~
此刻我會有點猶豫...我該不該接受他/她的好意,吃一口麵包...
因為... 如果您擁有一排頗整齊的牙齒,咬一口麵包,在麵包上留下的「咬痕」大概會是這樣:

但我...的兩顆哨牙+兩顆長得太後的牙+一顆爆牙會在麵包上留下這個樣的咬痕:

-____-" 你說尷不尷尬?!
所以,當我決定要吃一口朋友的食物時,我也會在吃了第一口後趕快「補咬」第二口,為要將凹凸不平的咬痕修補成平平的 xD (其實有人明白嗎?)
還有其他關於牙齒的有趣的往事,都留待下一次寫了!這篇的主題是我箍牙的首三個月經歷嘛~
為了更方便接下來的解說,我特地找來了這張矯齒器解構圖!
我一向不喜歡寫中英夾雜的文(書寫或說話也中英夾雜的話,其實是對兩種語言的學習也有不良的影響~ 老師說!!)
前天上班(在牙科診所),我特地拿出給病人的矯齒說明文件看一下,為要找出某些關於箍牙的用詞的中文翻譯!
找到啦~原來貼在牙齒表面的「粒粒」叫托槽,那條鐵線叫矯治弓絲! (恍然大悟~)
雖然說中文總是有點怪怪的,但總好過中英夾雜啦!
看熟了沒有? 要開始看我這幾個月來寫的牙套日記咯!!
Day 1 (May 28, 2013)
今天最開心的事,便是我終於箍牙了!
(但後來有個懷消息嚴重抵消我興奮的心情,那消息是: Starbucks經理不聘用我!!!
(WHOEVER DOESN'T WANNA HIRE ME, DIEEE!!!!! 惡毒地... Lol) 唉,算了!
說回把牙套戴上的感受... 比我想像中舒適得多!
過程中最難受的,只是牙醫用某個會「吹冷風」(-_- 好像很沒學識地形容)的工具,「狂吹」我的牙齒!!! 那麻痺和敏感的感覺好難受...
此外,還有雙唇被另一器具「翻開」兩小時!唇有點累...
除了這些,整個過程沒有不適底疼痛,非常好!
原本我以為剛把牙套戴上,便會馬上感到牙齒被「勒緊」以至酸痛,但原來是完全沒有這感覺的! 0_0 驚訝!
不習慣的就只是,說話有點不自然(像「癡脷筋」、上下兩排牙齒不能接觸到 -_- (令吃東西有困難)、以及有點像「哨牙」的感覺 (即是托槽突出,讓嘴巴關不了 -_-,在微笑的時候,托槽有時會藏不了地「暴露」出來 Lol 哈哈哈...需要點時間適應!)
但因為一點疼痛的感覺也沒有,令我感到意外。
(但剛剛讀某過來人的blog,她說在第二天起床時才會感到痛的!還是超痛那種!
啊 >_<好怕啊!!!! 人家告訴你「一會兒後才會痛」的感覺,比起「現在就感到痛」可怕得多了 Lol
好啦!明天再寫 :):)
好啦! 來看看剛戴上矯齒器的相片!! (登登登登......)
*
*
*
*
*
*
*
*
*
*

原本的牙齒終於亮相!!!
醫生用了兩顆叫Bite guard (太懶了,不想去查中文-_-) 的東西,阻止上、下兩排牙齒咬合。
為了讓上排那長得太後的兩顆牙不被下排的牙擋住,可以順利向前移動。
(如果你明白我在說什麼,你實在太聰明了!!哎唷~ ^^)
最恐怖的牙照要出場咯!!!(準備看牙齒大特寫)
再一次警告...受不了的人不要繼續看咯!
或者你可以飛快滾動你的滑鼠輪,跳至下面繼續閱讀!
*
*
*
*
*
*
*
*
*
*
*
*
*
*
*
*
*
膽小的走了沒有? xD
*
*
*
*
*
*
*
*
要看咯!!
*
*
*
*
*
*
*
*
*
*
*
*
準備
*
*
*
*
*
三
*
*
*
*
二
*
*
*
*
一
*
*
*
*
*
啊(張大嘴巴) !!!
有發出「嘩」的一聲驚嘆嗎? xD 我把這張照片傳給家人時,他們也表示十級震驚 -_-
這裡可以清楚看到:
A) 兩顆哨牙
B) 兩顆長得太後的牙
C) 一顆爆牙
哎呀~情況真的很糟啊!!
那條矯治弓絲(這個名字真的好怪-V-)歪曲得跟過山車的路軌沒兩樣....
想像不到嗎?
來~ 我給大家畫圖說明... (-_-)

OMG!! 熱愛過山車的(例如本人),必定會愛死那段大於70度角的傾斜路軌.......
每天在鏡中看自己的牙,就讓我好想去玩過山車......... 囧!
題外話:
曾經某男生對我說:「(情深地)我喜歡接吻時用舌頭舐對方的牙齒,用舌尖滑過她一顆又顆的牙齒,就好像在火車軌道上滑行<3」(對的,世間上竟存在想像力比我更豐富的人-___-)
然後我心想:「(尷尬地)恐怕你要是這樣吻我,只會感到舌尖在走崎嶇不平的山路.......」
Day 2 (May 29, 2013)
昨晚睡前給自己一個心理準備,今天起床時可能會感到牙齒超酸痛(根據網上過來人的報告)!
但今早起床時,仍是沒有感覺 -_- (這樣下去的話,我實在太幸運了!)
不過,唇內的肉卻被托槽刮傷了!痛!
在其他人的網誌中也讀到,這是一個常見的問題,很多人的口腔會被刮得生飛滋!
我也是 :'(
其實是可以用醫生給我的蠟來封住尖銳的托槽,這樣便不會那麼「界口」。
但因為怕麻煩(每次刷牙後,蠟便會被刷走,要再補上)...所以我也沒經驗使用那盒蠟...
暫時來說,那種痛是可以忍受的,不說話的時候怎至不會感受到口腔被刮傷。所以還可以啦!
另外,吃東西是最大的不便了!
因為我現在上排跟下排的牙齒不能咬合,吃飯時真的很費時!
今早吃了片我一向早上會吃的多士,已經用了不少時間。
午餐,其實我好餓!想吃意粉/出前一丁!!! 但想像自己吃不到一向我要求要煮得al dente我才喜歡的麵食,我便放棄了!
實在不想勉強把麵煮至溶溶爛爛才吃 -_- 討厭的...
最後,我又吃了片多士。
箍牙時可以順道減肥是說得沒錯的!
首先,吃的速度放慢了十倍,所以吃的份量少了,但已有飽腹感。
而且,很多美食也真的沒辦法開懷地吃啊! 心想: 既然吃得那麼辛苦,就不要吃好了。
想起以前爺爺、嫲嫲來我家吃飯時,總會說我們煮的白飯過硬,他們吃時有困難;
相反,我到他們家吃飯時,也會覺得他們煮的飯太軟,不可口。
那時心裡會嘀咕: 飯要煮得有嚼勁才好嘛!
但現在終於明白了老人家的「苦況」,牙齒沒力咬碎食物,真是件痛苦的事!
(心中跟爺爺、嫲嫲道個歉,抱歉我當時沒有站在你們的角度去想!)
今天原本不開心(歸咎於昨天拒絕我工作申請的Starbucks經理吧!!),
但有兩件事把我底落的情緒打救了!
一,收到表姐遲來的生日禮物! 感覺她把我當成小公主(請嘔~),送我裙子和髮夾 ^_^
很久沒有新衣服穿了,被疼惜的感覺爽死了! (愛妳唷老表!)
二,臨時有個面試機會,工作是牙醫診所接待員。
我剛開始面試時,便跟那牙醫說我昨天才開始箍牙,現在說話有點不自然,請不要見怪! Lol
(哎呀~我說話時會「漏風」,所有"S"音呀,"T"音呀這些都發不準!)
然後,我現在的笑容超奇怪的! (不知那牙醫會否嫌我面試時笑容不夠呢 > <?)
如果我想做我的招牌微笑(不露齒),牙箍的托槽便會不其然地在雙唇之間露出來!!!
令我整個笑容跟「苦笑」沒兩樣 -_- (即是說我這幾個月都不用拍照了,是嗎?)
到晚餐時間,我從冰箱拿出被冰封了兩星期的半條魚,它今晚便能大派用場了。
煮個魚粥,這次是我一生人第一次煮粥!! (Yeah,我懂煲粥喇!未來老公生病時我可煮給他吃了Lol)
還不錯啊!我現在好像病人 -_- 總之能輕鬆地吃的食物我也覺得相當美味。
然後,炒碟西蘭花給姑媽吃。因為不想害她要陪我天天吃軟綿綿的「BB餐」Lol
我自己也吃了點西蘭花,但要把我吃的剪得超碎!
感覺像返回嬰孩時代 -_- 最好有人替我把食物剪碎,再餵我吃! (發夢na~)
我想我應該把西蘭花用攪拌機打碎,做個"cream of broccoli soup";
或者每天做杯「五青汁」(把各種蔬菜榨汁)來喝,才可以攝取到我應該攝取的蔬果量。-_-
其實我還想吃很多甜品:S !! 但不知有沒有牙力吃 -_- (另類痛苦!)
啊!我可以吃雪條!! (現在就去吃!) 用冰冷的食物去麻痺口腔被刮傷之痛!
今天的感想就這樣。
Day 3 (May 30, 2013)
今天吃早餐時發了一會脾氣 -_-
因為忍受不多我吃片多士也花很多時間,而且咀嚼時牙齒又很酸軟。
沒耐性的我差點吃至眼淚也流出... (誇張吧?)
但記得三天前我跟自己說,箍牙期間即使有多痛苦,我也會欣然接受!
因為這件事是我一直夢寐以求要做的!!!
還是少埋怨,多感恩吧。
Day 4 (May 31, 2013)
感受最多痛楚的一天。
痛的不是牙齒,而是被刮傷的肉 :S
今天參與了學校辦的Career day,整天也不想說話、不想笑,
因為當我一開口,托槽便會磨擦到已損傷的肉...
難受!
午餐他們派了subway的sandwich & cookies (當學生總是很幸福),
幸好sandwich的包和肉以及曲奇都是軟軟的,我還可以吃。
但吃得超超超超慢... 所以我找了個角落自己跟食物「搏鬥」。
哎喲,希望這種痛快點離開,我不想整天也是「苦瓜臉」,好像很憂鬱般 -_- (其實我是一笑便痛!)
Day 6 (June 2, 2013)
Yeah! 痛楚終於退下來了!!
今天說話和大笑的時候,即使口內的肉仍是被磨擦著,但已不算痛了。
(那些傷了的肉會變成厚厚的,所以再被刮也不那麼易再受損)
原來最痛的兩天是Day 4&5,痛苦的日子還真快過去啊!
今早已經可以順利地吃西多士(當然仍是吃得很慢,但不致於吃至發脾氣Lol)!
這星期內,應該可以吃些正常人吃的食物了(不再需吃「BB餐」^_^)。
今天想到一個遊戲,就是叫所有家人估計一下我幾月幾日會完成整個牙齒矯形旅程!
估計最接近正確答案者,有獎勵 Lol
(記得去年弟弟HKDSE放榜前歹,我們一家也玩了類似遊戲,猜猜他的成績)
昨晚在Youtube搜尋關於箍牙的影片看(已經看過很多段影片...我又瘋狂了),
其中一個香港少女自拍一段片,說自己多想箍牙...
非常能夠引起我的共鳴 >_<
如果我認識她,也想跟她說句別灰心也別著急,一定有機會的!!!
(老娘也等了十年了 -_- 十年間羨慕不少年紀輕輕便有機會箍牙的朋友,也羨慕過外國人能當箍牙是必需品,大部份人也在年輕的時候解決了牙齒不齊整的問題...)
但我相信我們今天未得到的東西,也是上帝的計劃! 祂一定為我們預備最好的 :D
Day 15 (June 11, 2013)
前兩天開始經驗到箍過牙的朋友所說的「睡覺後,唇的內則托槽壓得坑紋也出現」。
不知為什麼現在才有這情況。
今天特別有件事想說!
昨晚睡至大既4:15am,突然聽到口裡傳出很大的一聲「啪!」!!!
聲音大得我懷疑是那條矯治弓絲斷了 XDXD! 真我很響亮啦!
(其實有可能是我在做夢)
被「啪」的一聲巨響弄醒後,我進了廁所檢查一下口腔,確保那條線沒有斷 -_-
但我還在懷疑是否有些托槽掉了下來,因為那巨響好像在告訴我必定有某東西給弄歪了...
再次進入夢鄉,在夢中,我到了牙科診所叫醫生幫我修補「想像中是斷了」的線LOL
很好笑!
但起來發覺,那些線和托槽,也沒異樣 -_- 但我明明聽到口內有巨響呀! 奇怪...
P/S 還未看到牙齒移動的跡象...
1 Month (June 28, 2013)
待了這麼久才一個月呀! :P
循例拍了些箍牙一個月後的照片,但跟一個月前拍的做比對,好像完全沒有分別 -_-...
經過再三比對後,發現了一個小差別! 就是原來我的兩顆門牙不是對齊的,現在好像對齊了!
但又有可能是心理作用 Lol
不要緊!數天後第一次覆診,問問醫生進展如何 :)
現在最令不便的,就只是吃東西後,食物會藏在牙線間... 很想馬上去刷牙 :S
但除此之外,便沒其他大問題了!
呀!還有,我的微笑變得好古怪!
第一次調整 (July 6, 2013)
這個原定半小時的appointment,最後需一小時!(出來時,下幾位病人都坐著等待 ~_~ 不好意思)
我向醫生提出我兩顆門牙一長一短的問題 -_- 他說會把短的那顆拉下多一點,然後把不平滑的部份磨一下
好耶~我還怕這是個不能解決的問題 Lol
他把我兩顆生得太後的牙換了個托槽 (要個強一點的!!)~
醫生用鉗子把原本黏在牙上的托槽拆下來時...哇!!痛呀!! 好像是穿耳洞的那種痛 :S
我在想,整個療程完結後,把所有牙齒上的托槽拆下來的那天,一定難受死了...
這間診所是比較先進的,病人躺了下來後,可以看安裝在天花上的電視~
我看了一陣子,突然想到一個惡作劇,那便是在膽小的人看牙醫時,播放最驚慄的恐怖片硬要他們看!!! 他們好慘 Lol (他們在接受治療,一定逃不掉xD)
哈哈哈,然後我突然好想放聲大笑!! 但醫生正在為我調整矯齒器,我要強忍住笑! 好辛苦啊! TvT
我恨自己經常在不適當的場合逗自己笑 -_-
臨離開前,我循例問問醫生我的牙有沒有進展(明知他一定會答有!),因為我確實看不到明顯的改善= =
他說有呀,之前牙與牙之間沒什麼空位讓牙齒可移動,現在有了。
厄...好啦~我接受你這個答案。
第二次調整 July 23, 2013
一個多星期前,我在睡覺中把右邊的bite guard咬碎了 -_-
我還在半夜,把bite guard碎片吐出來 Lol
今天,去了醫生那裡,打算叫他幫我弄一下那bite guard...
怎料,他說既然我來了,就索性替我做第二次的調整好了 (他...不想太經常見到我~_~嗚)
那我原定在下星期的預約可以取消,八月尾才回去。
醫生也看到我右邊的那顆牙明顯移動了(好自豪lol) ^_^ 他說左邊那顆應該也會在未來一個月內有明顯的移動,但要先加厚bite guard,讓下排的牙齒不會阻擋著上排的牙齒移位
(我終於搞清楚bite guard的作用...)
忘了說,前兩星期,我突然發現醫生為我加入了橡皮圈來協助牙齒移動 -_- (加了個多星期才突然發現....)
原來那橡皮圈是透明的,而且很幼,所以我不為意...
但有天喝完了奶茶,橡皮圈被染成了淺黃色,我便看見它們了xD
但這次調整後,醫生把橡皮圈拆走~ (或者又是因為它們是透明,我還沒看見它們的存在-_-)
好呀~ 早了一星期做調整,迫牙齒們快點移動 ^_^
最後想說,後天我約了Carol吃放題....
總是逃不過調整牙套後便有好東西吃的「厄運」。
-_- 又要「痛苦地」把美食送進嘴裡...

兩顆門牙比剛開始矯正時,好像更為「突出」T_T 天啊這是什麼意思?!?!

(先無視我正在敷面膜的臉 -_-...)
終於看到牙齒的第一個改變了!! 那便是箭嘴指著的那顆! 乖乖的往前移動了 :)
牙齒寶寶,你真的好乖啊~ (醫生也讚你了!)
然後~ 我又發現了我的牙齒存在另一個問題!!
(問題多得猶如天上繁星.... 哎...)
就是我的其中一顆牙是呈波浪形狀的 ~_~ OMG...

然後這顆不平的門牙,比旁邊那顆長了一點 -_-.... 好想把它磨平啊!!
第三次調整 August 27, 2013
(這段在九月份才補寫,我開始懶了 :@ 其實是因為之前用心儲了三個月的牙齒矯正進度照片都全都不見了(電腦意外地被洗機...#^&$*^!),太失落,所以久久未更新進度...)
這次醫生「遵守承諾」,將我口內的兩塊bite guard都拿出來了^_^ yeah!!!!
現在上下兩排牙齒可以正常咬合!!
吃東西方便了十倍! (雖然調整後的一、兩天,牙齒仍會很酸軟,吃不了什麼)
說話也清楚了幾倍!(不再「漏風」了:'D 不再被取笑)
但這次調整,其中一個步驟痛得我快要尖叫!!
醫生好像要替我把某個托槽拆下來,然後他無意地把手指插在我的唇上「借力」-_-
嘩!!! 那一下真的痛得要命! 幸好他很快便把托槽拆下來了,我才不至於大叫....
這次我上排的前六顆牙齒,加了一條透明的橡皮筋,緊緊扎住這六顆牙,為要收少牙與牙之間的空隙。
調整後的第二、三天,我做了一件讓我後悔一整個月的事........
我 吃 了 咖 哩。
天呀!怎麼沒人提我牙齒矯整的過程中不宜吃咖哩?!
「Mmmm...這塊咖哩牛腩還不錯!」吐出這句讚嘆後... 牙齒上那條本身透明得讓人沒辦法察覺到的橡皮筋永久地被染成了螢光黃色。
事後有朋友看著我的牙齒問道:「噫? 你這個月選了黃色的線嗎?」(傳統的牙齒矯正,醫生是會給病人每個月換不同顏色的線)
~_____~ 我:「我.... 我是吃了咖哩....」
上排的牙齒進度良好,但我好像隱約聽到醫生檢視了我的下排牙齒後,發出輕微嘆息 -_-
就是驚訝為什麼下排跟開始療程時沒兩樣... 然後他狠狠地拉緊下排的弓絲!!!
這個月,我發覺下排三顆歪了一點的牙開始移動了^_^
這次調整讓我最開心的!是醫生自動自覺把那顆不平的那顆門牙磨平了!
還有還有!這次覆診,我留意到那根用來替我「吸口水」的管子換成了螢光粉紅色!
我在想是不是醫生刻意為我換的呢? (癡心妄想 -_-)
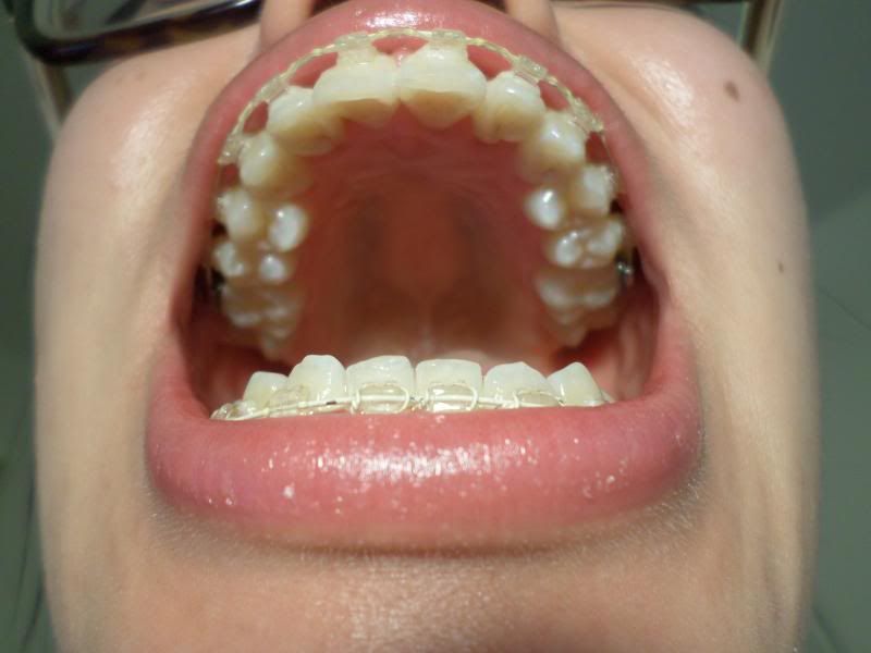
來看牙齒近照咯:
現在的門牙還是一長一短-_- 但不平的那顆已經被磨平了!好高興唷~

下排是這個樣子:
有三顆牙微微歪曲,但不太明顯!

已經比三個月前好看多了TvT
現在我喜歡笑著拍照時,用下唇遮住長短不一的門牙xD!! (研究了很久的絕招!!)

原本充滿刺激感的過山車路軌已經變成了小孩子也適合玩的火車路軌~
好神奇唷~轉變還真快!

有待改善的問題還有:
中線傾斜了、門牙長度不一致 (看紅線)
最後,來張三個月前和現在的比對:
2013年五月尾
2013年九月中
我還會繼續寫Part 2的! 因為這個旅程還未完結呀!
除了牙套日記外,我還打算寫「箍牙前傳」和一篇較具資料性的,講解一下我採用的是什麼類型的矯齒療程(明顯地,我戴的不是傳統的那種矯正器)、它的優點與缺點、我突然要矯齒的原因和價錢等等:)
現在...我要返回現實世界... 唸書了 T_T...
天啊才開學了兩星期,家課便堆積如山!